superior mediastinal lymph node
The IASLC Lung Cancer Staging Project: A Proposal for a New we have 9 Images about The IASLC Lung Cancer Staging Project: A Proposal for a New like Mediastinal lymph nodes, mediastinal lymphadenopathy causes, Neck lymph nodes:Levels I – VI | RANZCRPart1 Wiki | FANDOM powered by Wikia and also Hong Kong Journal of Paediatrics [HK J Paediatr (New Series) 2009;14:42-45]. Here it is:
The IASLC Lung Cancer Staging Project: A Proposal For A New

lung cancer lymph node iaslc map thoracic station nodes therapy staging modulated radiation intensity figure international interlobar edition classification jto
Hong Kong Journal Of Paediatrics [HK J Paediatr (New Series) 2009;14:42-45]
![Hong Kong Journal of Paediatrics [HK J Paediatr (New Series) 2009;14:42-45]](http://www.hkjpaed.org/figure/2009;14;42-45-fig1.jpg)
lymph neck node enlarged supraclavicular right showing sagittal
Neck Lymph Nodes:Levels I – VI | RANZCRPart1 Wiki | FANDOM Powered By Wikia

lymph nodes thyroid radiology segments jugular hyoid sternocleidomastoid divided generally artery lymphatic scm cricoid cartilage carotid radiopaedia sonography
Mediastinal Lymph Nodes, Mediastinal Lymphadenopathy Causes

lymph nodes mediastinal lung lymphadenopathy
Roentgen Ray Reader: Virchow's Node

virchow node nodes lymph virchows
Lymph Node Levels Of Neck | Epomedicine

neck lymph node nodes levels level drainage epomedicine lymphatic thyroid palate hypopharynx oropharynx larynx bilateral nasopharynx
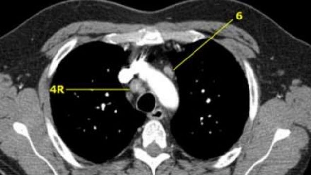
Radiological Anatomy Of Thoracic Lymph Nodes

lymph nodes thoracic radiological
Lymph Node Surgery For Thyroid Cancer | Oncohema Key

thyroid lymph surgery cancer node fig neck
Pitfalls In Ct Chest

pitfalls pericardial recesses
Lymph neck node enlarged supraclavicular right showing sagittal. Thyroid lymph surgery cancer node fig neck. Lung cancer lymph node iaslc map thoracic station nodes therapy staging modulated radiation intensity figure international interlobar edition classification jto